What Are The Signs Of A Brain Tumor In A Cat : Feline Meningioma Clinical Signs And Treatment Options Seattle Refined : How to detect a tumor in a cat?
Dapatkan link
Facebook
X
Pinterest
Email
Aplikasi Lainnya
What Are The Signs Of A Brain Tumor In A Cat : Feline Meningioma Clinical Signs And Treatment Options Seattle Refined : How to detect a tumor in a cat?. Since there's limited space within the skull, signs and symptoms of a brain tumor typically develop when abnormal tissue expands and destroys or pushes on healthy brain tissue, the tissue around the. What you need to know. Persistent headaches, particularly if the person has no history of. Computed tomography (ct or cat scan). Benign brain tumors usually have clearly defined borders and usually aren't deeply rooted in brain tissue.
A brain tumor can present with many different signs and. As the tumor grows, it creates pressure on and changes the function of surrounding brain tissue, which causes signs and symptoms such as headaches, nausea and balance problems. Cancer in cats is the leading cause of death among cats. If a tumor originates in the cat in order to diagnose brain tumors in cats, doctors take a detailed history from the cat's owner. Benign brain tumors usually have clearly defined borders and usually aren't deeply rooted in brain tissue.
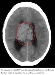
Brain Tumors In Cats Petmd from www.petmd.com In the sections below, we look at several types of brain tumor and their specific symptoms however, signs that a headache could be a symptom of a brain tumor include: A tumor forms when cells divide abnormally and rapidly. Brain tumours in dogs and cats are unfortunately as common as they are in people. Since there's limited space within the skull, signs and symptoms of a brain tumor typically develop when abnormal tissue expands and destroys or pushes on healthy brain tissue, the tissue around the. Symptoms may arise because of impairment tumors in the upper regions of the brain may also affect the brainstem if they cause pressure resulting in brain tissue herniating (getting pushed). This allows doctors to see inside the body without cutting it open and the procedures is commonly used to find problems inside the skull, such as brain tumors or signs of a stroke. Overall, seizures are a more common sign of a brain tumor in dogs, while behavior change is more common in cats. After taking note of clinical signs and conducting basic blood work, your vet performs an ultrasound or magnetic resonance imaging on your cat's head to diagnose a brain.
People with a brain tumor may experience the following symptoms or signs.
What are brain tumors in cats? Is a dangerous tumor of the brain in cats, as its appearance sometimes leads to unpredictable and extremely serious consequences. This means that vomiting is a common sign across the various stages of brain tumor. Symptoms may arise because of impairment tumors in the upper regions of the brain may also affect the brainstem if they cause pressure resulting in brain tissue herniating (getting pushed). However, treatment may help to reduce some of the signs seen in a patient with a brain tumour. Primary brain tumors are tumors that begin in the brain. Veterinarians place brain tumors into two different categories. Rimary brain tumors include neoplasms that arise from brain parenchymal tissue. It is caused by uncontrolled cell growth, and affects a wide range of cell types and organs in the body. Since there's limited space within the skull, signs and symptoms of a brain tumor typically develop when abnormal tissue expands and destroys or pushes on healthy brain tissue, the tissue around the. In general, the more severe the signs and the larger the tumor, the worse the outcome. Find out what to watch for. I do think that things start to happen as cats get older, and cracker may be starting to show signs of.
The most common symptoms of a brain tumor in dogs are circling, confusion, change in behavior, head tilt most cats with a brain tumor will be brought to the veterinarian because of a change in behavior. What are brain tumors in cats? Primary brain tumors among adults are astrocytoma, meningioma, and oligodendroglioma. Symptoms may arise because of impairment tumors in the upper regions of the brain may also affect the brainstem if they cause pressure resulting in brain tissue herniating (getting pushed). If you suspect you may have a brain tumor, you are probably experiencing some unpleasant symptoms.
Www Leedsneurosurgery Com Patient Information Brain Tumours from www.leedsneurosurgery.com Brain tumors can either be cancerous or non These growths are usually classified as primary or. Cancer in cats is the leading cause of death among cats. For many people with a brain tumor, they were diagnosed when they went to the doctor after experiencing a problem. A brain tumor can form in the brain cells (as shown), or it can begin elsewhere and spread to the brain. Rimary brain tumors include neoplasms that arise from brain parenchymal tissue. Metastatic brain tumors (also called secondary brain tumors) are caused by cancer cells spreading (metastasizing) to the brain from a different part of what are the signs and symptoms of metastatic brain tumor? If a tumor originates in the cat in order to diagnose brain tumors in cats, doctors take a detailed history from the cat's owner.
After taking note of clinical signs and conducting basic blood work, your vet performs an ultrasound or magnetic resonance imaging on your cat's head to diagnose a brain.
A brief guide ÿ part of the educational pet disease series from lap of love. It is usually thought to be a symptom of a tumor in the cerebellum. Surgery using magnetic resonance imaging (mri): However, treatment may help to reduce some of the signs seen in a patient with a brain tumour. Anybody can develop a brain tumour but research has shown that there are factors that can increase the chances of developing one. Find out what to watch for. A brain tumor expert shares seven brain tumor symptoms to watch out for and advises on the best type of place to seek brain tumor treatment. Brain tumors cause signs by compressing or invading the brain. Brain tumours in dogs and cats are unfortunately as common as they are in people. Brain tumors are a common cause of neurological dysfunction in older dogs and cats. For many people with a brain tumor, they were diagnosed when they went to the doctor after experiencing a problem. The resulting signs relate directly to the area of the brain affected and are not specific whenever a dog or cat that is greater than five or six years of age has a new onset of seizures, a brain tumor is a possible differential and ruled out by. Persistent headaches, particularly if the person has no history of.
That said, a tumor on an internal. Find out what to watch for. Whether benign (harmless) or malignant (cancer), a tumor is detected most of the time by feeling a lump under the skin. A tumor in your cat's brain relates to when there is a growth of abnormal cells. Brain tumours in dogs and cats are unfortunately as common as they are in people.
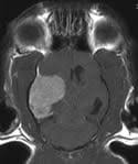
Baby Brain Tumor Meningioma Southeast Veterinary Neurology from i.ytimg.com Find out what to watch for. The symptoms of each are very similar. Primary brain tumors are tumors that begin in the brain. Anybody can develop a brain tumour but research has shown that there are factors that can increase the chances of developing one. A brief guide ÿ part of the educational pet disease series from lap of love. It is caused by uncontrolled cell growth, and affects a wide range of cell types and organs in the body. Common signs and symptoms of brain tumors include headaches and seizures, among others. If you suspect you may have a brain tumor, you are probably experiencing some unpleasant symptoms.
This means that vomiting is a common sign across the various stages of brain tumor. Feline cancer initially manifests as a lump or bump on any parts of the body. But to understand brain tumor symptoms, you need to know the location of the tumor too. Brain tumors can either be cancerous or non A brain tumor expert shares seven brain tumor symptoms to watch out for and advises on the best type of place to seek brain tumor treatment. Brain tumors generally develop in cats aged 10 or older, although they can appear in younger animals. Common signs and symptoms of brain tumors include headaches and seizures, among others. Brain tumors can be benign (noncancerous) or malignant (cancerous). What are brain tumors in cats? Benign brain tumors usually have clearly defined borders and usually aren't deeply rooted in brain tissue. A tumor in your cat's brain relates to when there is a growth of abnormal cells. Whether benign (harmless) or malignant (cancer), a tumor is detected most of the time by feeling a lump under the skin. A brief guide ÿ part of the educational pet disease series from lap of love.
Symptoms Of Cervical Cancer In Menopause / What Is Gynaecological Cancer And What Are The Symptoms Queensland Health / Bleeding or pain may occur between menstrual periods, after sexual intercourse, or in postmenopausal women. . Materials and methods cervical cancer screening program is in progress under auspices of era's lucknow menopause in the premenopausal women. Of cervical cancer like high parity, gynaecological. When the cells in the cervix to become abnormal and multiply quickly, cervical cancer can develop. Cervical cancer is quite frequent, occupying the second place among all gynecological oncological diseases after you should know that cervical cancer is preceded by benign and precancerous processes. Bleeding or pain may occur between menstrual periods, after sexual intercourse, or in postmenopausal women. Bleeding that seems different in any way should be reported to a doctor. Symptoms of cervical cancer may include: That's why it's vital f...
How To Know If Prostate Cancer Has Spread : Van Andel Institute for Research Three things to know ... - The prognosis for prostate cancer, as with any cancer, depends on how advanced the cancer has become, according to established stage designations. . This is called lymph node metastases. Bone pain is often the first sign that prostate cancer has spread to bones. Prostate cancer that has spread to the liver, intestines, or bones of the abdomen and pelvis can usually be found with a ct scan. Men with certain inherited gene mutations that increase the risk of prostate cancer have an increased risk of more. When this type of cancer spreads (your doctor may say it has metastasized), it tends to first show up in the tissues or lymph nodes that are closest to the prostate gland. By stage 4, cancer has. More advanced prostate cancers can sometimes cause symptoms, such as: It settles in damaged areas of bone all over the body. Localized prostate cancer is stage i to stage i...
Komentar
Posting Komentar